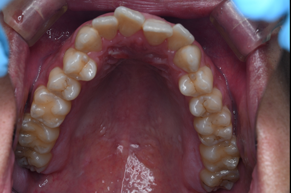
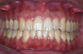
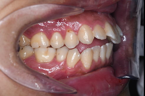
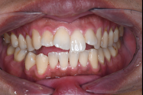
叢生を伴う開咬(オープンバイト)

治療法インビザライン 
治療開始年齢32歳
治療期間約9ヶ月
通院回数12回
費用(税別)約75万プラス調整料
治療のリスクと注意点1日20〜22時間以上着用しないと、計画通りに歯が動かず治療期間が延長するリスクがある。

治療前

治療後