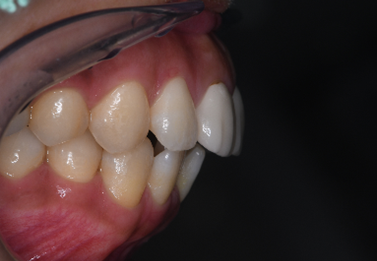
口ゴボを伴う叢生
| 治療法 | インビザライン |
| 治療開始年齢 | 31歳 |
| 治療期間 | 約12ヶ月 |
| 通院回数 | 13回 |
| 費用(税別) | 約82万プラス調整料 |
| 治療のリスクと注意点 | 1日20〜22時間以上着用しないと、計画通りに歯が動かず治療期間が延長するリスクがある。 |
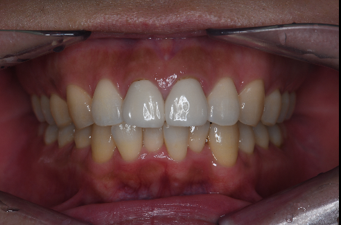
治療前






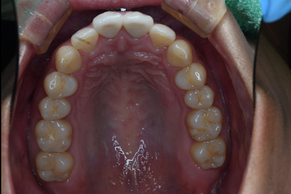
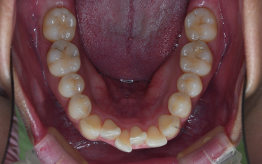
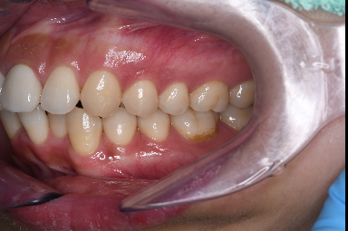
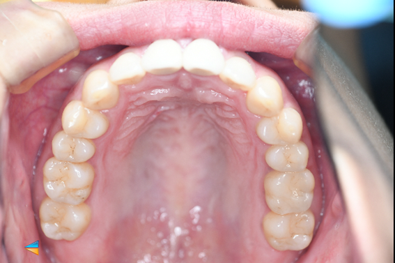
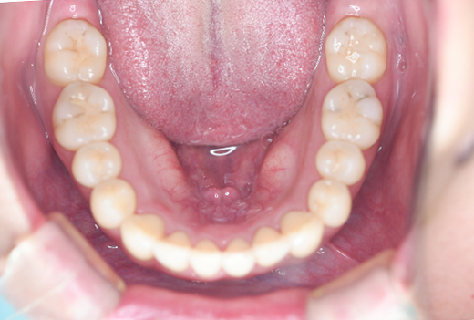
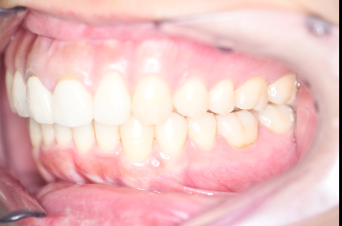
治療後






お気軽にお問い合わせください。079-293-0588受付時間 9:30-18:30 [ 木・日・祝日除く ]
| 治療法 | インビザライン |
| 治療開始年齢 | 31歳 |
| 治療期間 | 約12ヶ月 |
| 通院回数 | 13回 |
| 費用(税別) | 約82万プラス調整料 |
| 治療のリスクと注意点 | 1日20〜22時間以上着用しないと、計画通りに歯が動かず治療期間が延長するリスクがある。 |
治療前






治療後






医院名 :医療法人社団 米田歯科医院
所在地 :兵庫県姫路市中地345−10
電話番号: 079-293-0588
診療時間:午前 9:30~13:00
午後 15:00~18:30
(土曜午後 14:30~18:00)
休診日 :木・日・祝
駐車場 :あり
CONTACT
お電話でのご予約・お問い合わせ
079-293-0588(予約制)